矯正LINE相談
WEB予約
Instagram
公式サイトTOP
TOP
インビザライン
(マウスピース矯正とは)
マウスピース矯正無料相談
マウスピース矯正治療の症例
マウスピース矯正治療のメリット
当院の6つの特徴
マウスピース矯正の流れ
よくあるご質問
マウスピース矯正治療費
マウスピース矯正の取り扱い説明書
マウスピース矯正Smartee(スマーティー)
出っ歯・口ゴボに対するマウスピース矯正
八重歯(やえば)に対するマウスピース矯正
マウスピース矯正と歯周病
小児マウスピース矯正
マウスピース矯正とホワイトニング
マウスピース矯正・加速度矯正装置
マウスピース矯正とインプラント治療の連携治療
マウスピース矯正とガミースマイル
マウスピース矯正再治療について
マウスピース矯正・セカンドオピニオン
クリニック紹介
LINK
公式サイトはこちら
WEB予約
top
インビザライン(マウスピース矯正とは)
マウスピース矯正無料相談
マウスピース矯正治療の症例
マウスピース矯正治療のメリット
当院の6つの特徴
マウスピース矯正の流れ
よくあるご質問
マウスピース矯正治療費
マウスピース矯正の取り扱い説明書
マウスピース矯正Smartee(スマーティー)
出っ歯・口ゴボに対するマウスピース矯正
八重歯(やえば)に対するマウスピース矯正
マウスピース矯正と歯周病
小児マウスピース矯正
マウスピース矯正とホワイトニング
マウスピース矯正・加速度矯正装置
マウスピース矯正とインプラント治療の連携治療
マウスピース矯正とガミースマイル
マウスピース矯正再治療について
マウスピース矯正・セカンドオピニオン
クリニック紹介
LINK
公式サイトはこちら
マウスピース矯正症例一覧
マウスピース矯正大阪
大阪府摂津市千里丘東3丁目1−25
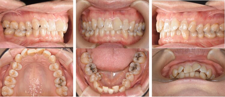
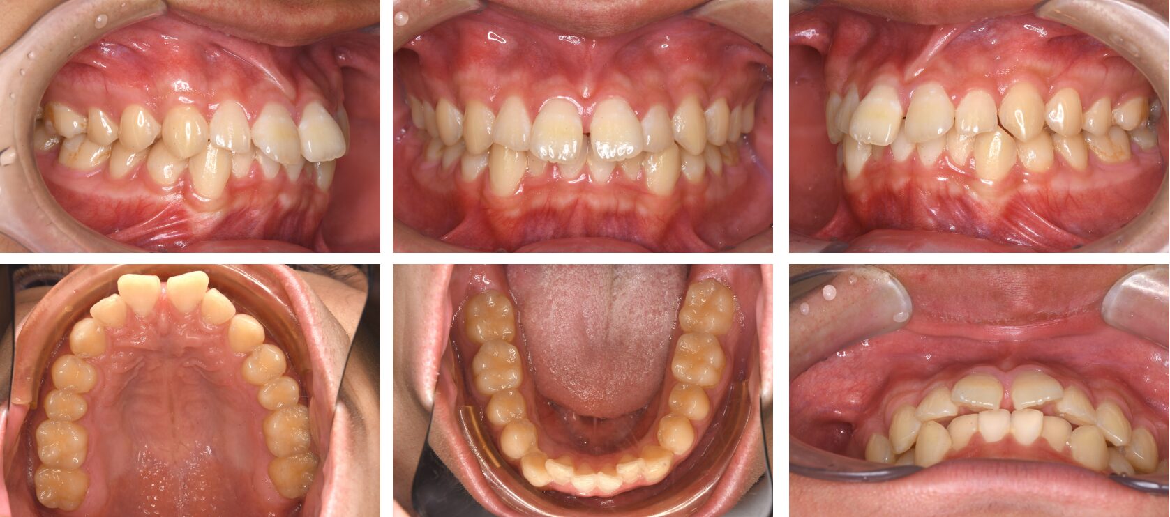
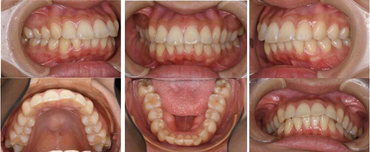
マウスピース矯正
2026.04.20
がたつき(叢生)・出っ歯
MORE
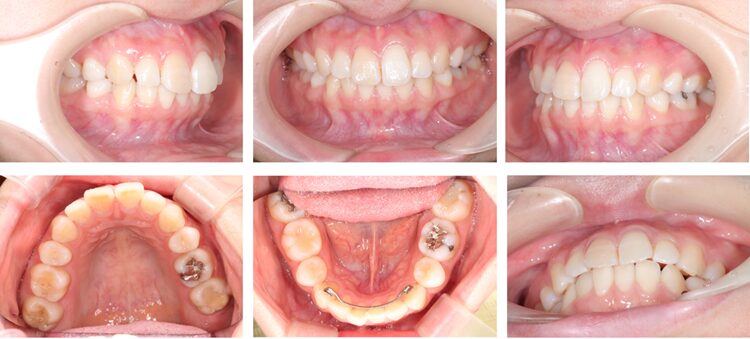
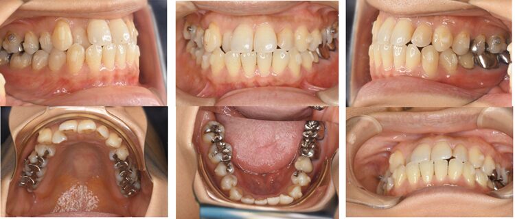
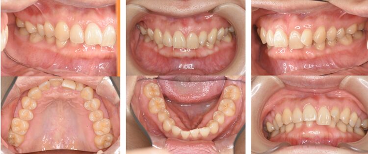
マウスピース矯正
2026.04.03
がたつき、前歯が出ているの治したい
MORE
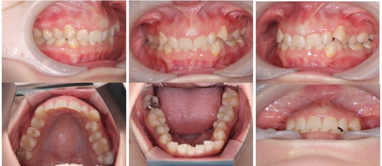
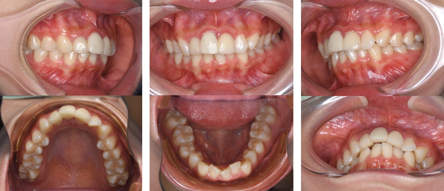
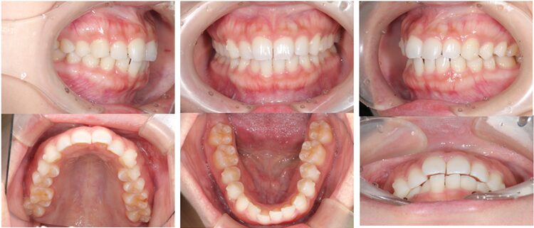
マウスピース矯正
2026.01.28
がたつき治したい
MORE
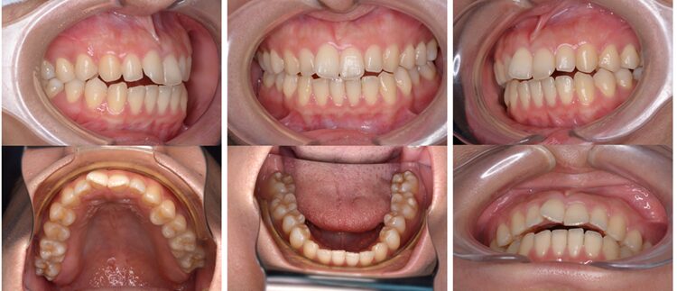
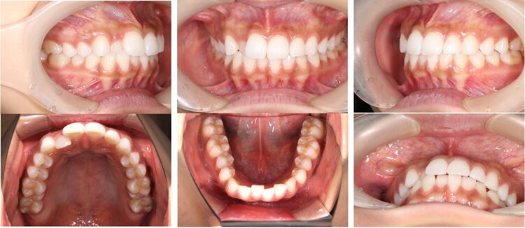
マウスピース矯正
2026.01.28
がたつき治したい
MORE
マウスピース矯正
2026.01.28
ガタガタ治したい、来院回数なるべく少なくしたい
MORE
1
2
3
…
»