矯正LINE相談
WEB予約
Instagram

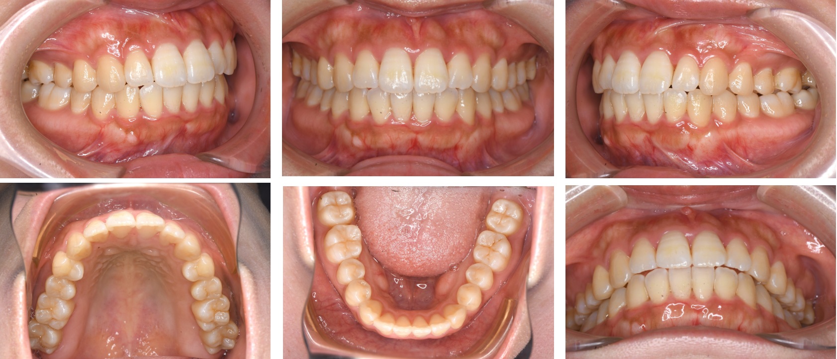
マウスピース矯正症例

症例写真

Before

After

治療詳細

主訴 がたつき治したい
年齢・性別 20代・女性
非抜歯・抜歯 非抜歯矯正
使用装置 マウスピース型矯正装置
(インビザライン)
治療期間1年
リスク及び副作用 • 歯根吸収(歯の根が短くなる症状)
• 歯肉退縮(歯肉が下がる症状)
• アンキローシス(歯と歯を支える骨が癒着し歯が動かなくなる)
• 歯の失活(歯の神経が壊死してしまう状態)
• 顎関節症(顎の痛み、開口障害)
費用(税込) 矯正検査費用:16,500円
矯正料金:880,000円

まずは無料相談に
お越しください

完全予約制でお待たせしません
072-631-8241
受付:9:30~12:30 / 14:00~18:30 
休診:木/日/祝
エル歯科クリニック千里丘
大阪府摂津市千里丘東3丁目1−25