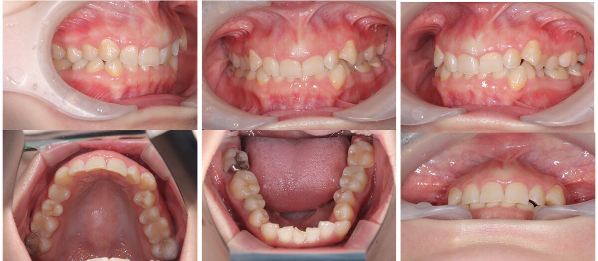
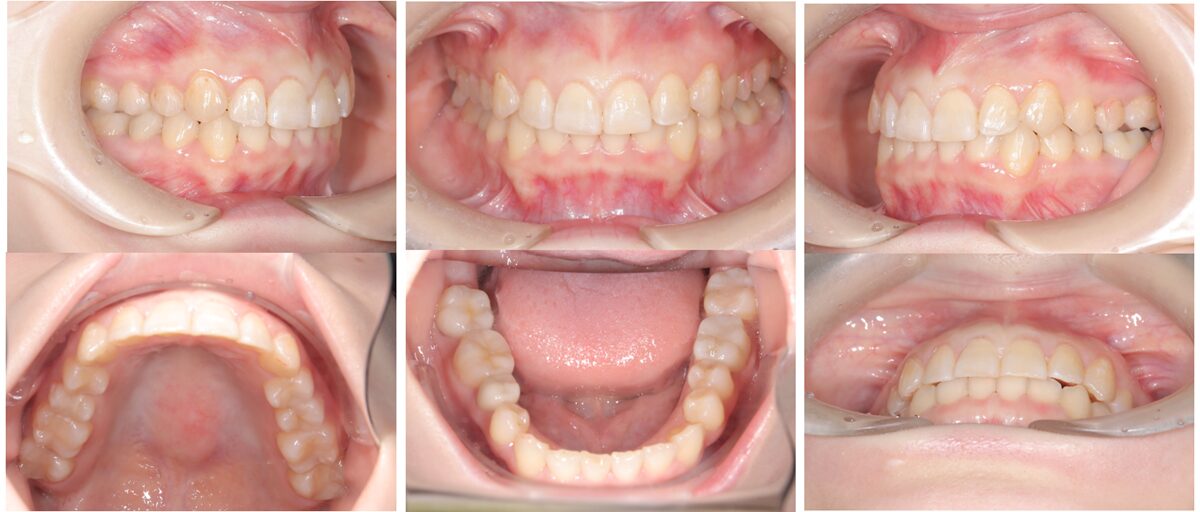
マウスピース矯正症例
症例写真
Before
After
治療詳細
| 主訴 | ガミースマイルを治したい |
|---|---|
| 年齢・性別 | 20代・女性 |
| 非抜歯・抜歯部位 | 非抜歯矯正 |
| 使用装置 | マウスピース型矯正装置 (インビザライン) 治療期間1年 |
| リスク及び副作用 | • 歯根吸収(歯の根が短くなる症状) • 歯肉退縮(歯肉が下がる症状) • アンキローシス(歯と歯を支える骨が癒着し歯が動かなくなる) • 歯の失活(歯の神経が壊死してしまう状態) • 顎関節症(顎の痛み、開口障害) |
| 費用(税込) | 矯正検査費用:16500円 矯正料金:880,000円 歯冠長延長術:165,000円 |

